Если усилить клеточный сигнал, побуждающий иммунные клетки к бесконтрольному делению, это заставит их уничтожить самих себя.
Острый лимфобластный лейкоз – одно из самых распространённых онкозаболеваний крови, которое к тому же чаще всего встречается у маленьких детей 2-5 лет от роду. Источником неприятностей становятся незрелые лимфоциты, предшественники В- и Т-клеток. Впрочем, большинство случаев лимфобластных лейкозов приходится именно на В-варианты, когда именно незрелые В-клетки теряют над собой контроль и начинают безудержно делиться. Во многих случаях помогает химиотерапия, но бывает так (особенно в случаях «взрослых» лейкозов), что болезнь связана с генетическим дефектом, из-за которого обычные методы лечения оказываются бессильны.
Этот дефект называется филадельфийской хромосомой: две хромосомы, 9 и 22, обмениваются участками, и в результате в клетке повышается активность некоего фермента, который запускает злокачественное перерождение. Как он действует? Мы знаем, что обязанность В-клеток – синтезировать антитела против инфекции, которую они должны вовремя почувствовать. На клеточной мембране у них есть специальные рецепторы, реагирующие на «сигналы тревоги» извне и запускающие клеточное деление – ведь раз у нас появилась инфекция, то число иммунных клеток нужно увеличить. Работа самих рецепторов контролируется специальной система проверки. Если они функционируют слабо, то такая клетка отбраковывается, она попросту бесполезна. Но и в том случае, если рецепторы работают слишком сильно, клетка тоже отбраковывается – если её оставить, её потомки, чего доброго, запустят аутоиммунную агрессию против наших собственных тканей и органов.

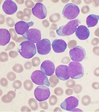
Предшественники В-клеток в образце костного мозга больного острым лимфобластным лейкозом. (Фото Rare Diseases / Flickr.com.)
Действие онкогенного фермента имитирует рецепторную реакцию: предшественники В-клеток начинают активно размножаться, как бы в ответ на инфекцию (которой на самом деле нет), но при этом до состояния зрелой клетки не доходят. На первый взгляд, стратегия лечения здесь напрашивается сама собой: нужно средство, которое подавляло бы активность зловредного фермента. Такое средство под названием иматиниб действительно создали. Однако следом возникла обычная проблема онкозаболеваний: у злокачественных клеток начала вырабатываться устойчивость к лекарству.
Конечно, можно попытаться создать новое терапевтическое вещество того же принципа действия, только более сильное. Однако исследователи из Калифорнийского университета в Сан-Франциско предложили совсем иной метод для борьбы с лимфобластным лейкозом – они попробовали избавиться от болезни с помощью вышеупомянутой системы проверки качества, которая отбраковывает слишком активные незрелые В-клетки. То есть сигнал, заставляющий клетку делиться, нужно на самом деле сделать ещё сильнее, чтобы включить в ней программу самоуничтожения, предотвращающую аутоиммунные расстройства.
Маркус Мюшен (Markus Müschen) и его коллеги испытали такой усилитель сигнала на мышах с устойчивой формой лейкоза. В статье в Nature авторы пишут, что злокачественные клетки действительно исчезали, симптомы болезни в значительной мере слабели и животные оставались в живых намного дольше, чем без лечения. Средство успевало подействовать только на больные лимфоциты, обычные, здоровые клетки оставались целы. Такая избирательность выгодно отличает новое средство от обычных химиотерапевтических лекарств, от которых страдают и больные ткани, и здоровые. Однако, прежде чем начнутся клинические испытания, нужно будет убедиться, что такая сильная стимуляция рецепторов не наносит вреда иммунитету. Сам принцип действия себя оправдал, но не исключено, что для людей нужно будет придумать собственный аналог этого вещества. И хотелось бы, конечно, надеяться, что таким образом можно будет лечить не только случаи лекарственно устойчивых лейкозов, развившихся из-за появления филадельфийской хромосомы, но и другие разновидности В-клеточных онкозаболеваний крови.
Автор: Кирилл Стасевич
Источник: nkj.ru